Научный прорыв в вопросах изучения патоморфологии
Учёные Белгородского госуниверситета нашли новый подход в изучении патоморфологии раковых заболеваний
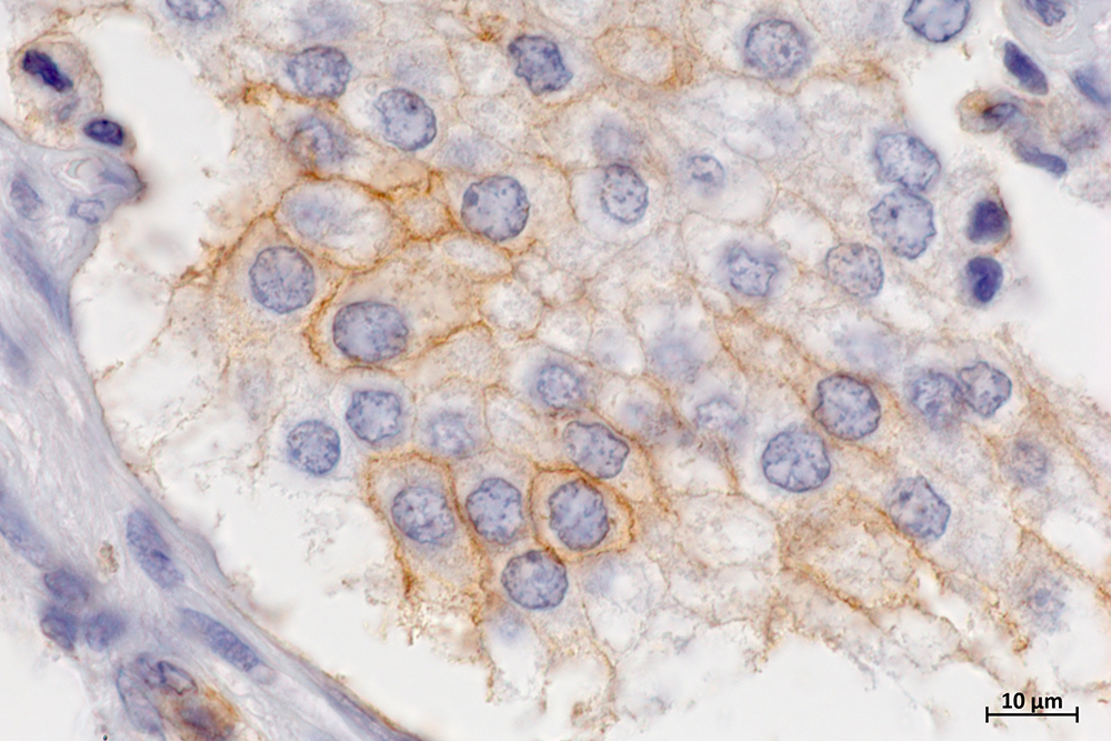
Группа учёных НИУ «БелГУ» : заведующая кафедрой патологии НИУ «БелГУ» профессор Татьяна Павлова, докторанты кафедры к.м.н. Иван Павлов, к.м.н. Дмитрий Бессмертный провели совместные исследования в области онкологии совместно с директором НИИ экспериментальной биологии и медицины Воронежского государственного медицинского университета им. Н.Н. Бурденко Дмитрием Атякшиным и профессором Института гематологии Игорем Бухваловым (Гамбург, Германия). В результате исследований был сделан серьёзный научный прорыв в вопросах изучения патоморфологии рака (на примере мочевыделительной системы).
Были изучены новые аспекты трансформации клеток при онкологических заболеваниях и их макрофагальное окружение. При этом был использован метод иммуногистохимии с применением новых инновационных подходов.
Проведенное исследование позволит клиницистам и фармакологам искать современные пути в лечении рака. В настоящий момент в мире не существует единой «панели» стандартов для подобных подходов, что и послужило необходимостью поиска очередных вариантов решения на основе уже имеющихся.
Началом этой работы послужили сведения, изложенные в совместной монографии исследователей «Гистохимия». Решение о её создании было продиктовано необходимостью развития данной темы с привлечением ведущих специалистов из различных стран при проведении в 2013 году на базе кафедры патологии НИУ "БелГУ" IV съезда Российского общества патологоанатомов. Результаты исследования будут доложены уже осенью на 32-м Международном конгрессе патологов в Глазго (Шотландия) и опубликованы в высокорейтинговом зарубежном журнале «Вирховский архив».
24.01.2020
| << Назад к списку | | Просмотров: 1490 |
Войти, чтобы оставить комментарий.



