Учёные предложили рациональную лечебную тактику при осложнении системных заболеваний сосудов и соединительной ткани
В НИУ «БелГУ» разработана оптимальная программа терапии осложнений заболеваний, протекающих с совместным воспалительным поражением артерий и вен
Учёные НИУ «БелГУ» совместно с коллегами из Первого Московского государственного медицинского университета им. И.М. Сеченова, Российской медицинской академии непрерывного профессионального образования и Российского университета дружбы народов изучили редкие клинические случаи сочетания тромбоэмболии легочной артерии и диффузного альвеолярного кровотечения. В результате плодотворного сотрудничества была разработана новая лечебная тактика в ситуации сочетания двух разнонаправленных по патофизиологическим итогам явлений – тромбоза и геморрагии.
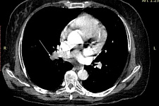
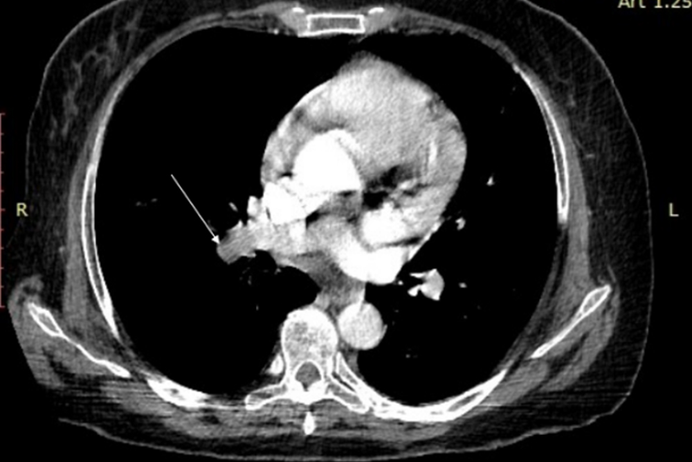
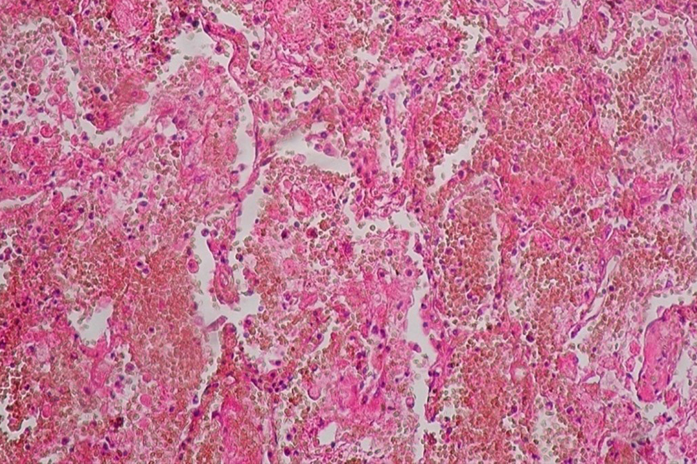
По словам профессора кафедры семейной медицины, доктора медицинских наук Андрея Третьякова, тромбоэмболия (закупорка оторвавшимся тромбом) в бассейне легочной артерии (ТЭЛА) и диффузное альвеолярное кровотечение (ДАК) являются наиболее неблагоприятными, порой фатальными осложнениями ряда системных заболеваний сосудов и соединительной ткани, в том числе гранулематоза с полиангиитом и микроскопического полиангиита (прим.: системные васкулиты малых сосудов, с преимущественным поражением оториноларингологической зоны, дыхательной системы, сердца и почек). В особых случаях явления ТЭЛА и ДАК развиваются одновременно, что значительно утяжеляет состояние больного, затрудняет диагностику и лечение. При этом учёные отмечают недостаточную исследованность этой проблемы.
– Пока нет единого мнения о вероятности развития и частоте диффузного альвеолярного кровотечения при системных воспалительных заболеваниях сосудов. По статистике, это осложнение происходит от 7 до 45%, и основной его причиной является капиллярит. Еще менее значительны сведения о сочетании обоих этих осложнений: на этот счет в литературе имеются лишь единичные сообщения, – комментирует Андрей Юрьевич.
Профессор подчеркивает, что при допущении неслучайности связи «ТЭЛА–ДАК» главной является проблема первичности каждого из событий с пониманием характера связи между тромбоэмболией и патогенетической основой альвеолярного кровотечения – легочным малоиммунным капилляритом.
В результате анализа описанных в исследованиях клинических случаев, учёные пришли к выводу, что совместное присутствие данных осложнений системного васкулита, в зависимости от хронологии событий, допускает три клинических варианта сочетаний. Первый – отсроченный от ТЭЛА дебют ДАК; второй – совместное развитие ТЭЛА и ДАК и третий – опережающее ТЭЛА начало ДАК. Для каждого из сценариев медики подробно изложили конкретную программу терапии.
– Рациональной тактикой лечения первого варианта сочетания ТЭЛА–ДАК является комплексная иммуносупрессивная терапия, использование антикоагулянтов, постановка фильтра в нижнюю полую вену, а после появления ДАК – коррекция гипоксемии, усиление иммуносупрессивной программы, отмена антикоагулянтов, проведение обменного переливания плазмы или плазмафереза и переливание крови. При совместном развитии ТЭЛА и ДАК эффективными оказались коррекция гипоксемии и иммуносупрессивная терапия с возможностью дополнения их несколькими курсами обменного переливания плазмы и в дальнейшем постановкой кава-фильтра. Для третьего варианта комбинации сохраняется правило эффективной иммуносупрессии, переливания крови, лечения дыхательной недостаточности и последующей тромбоэмболии лёгочной артерии (антикоагулянты, кава-фильтр), – представил поэтапный курс лечения в каждом из случаев Андрей Третьяков.
Подробнее ознакомиться с результатами исследования можно по ссылке: https://doi.org/10.26442/00403660.2021.03.200657
11.06.2021
| << Назад к списку | | Просмотров: 1380 |
Войти, чтобы оставить комментарий.


