НИУ «БелГУ» стал правообладателем седьмого международного патента
Учёные-материаловеды университета получили патент в Израиле на способ формирования биоактивного покрытия на поверхности эндопротезов крупных суставов
Новая технология, признанная на мировом уровне, успешно может быть применена в масштабах серийного производства эндопротезов крупных суставов с улучшенной биологической совместимостью. Сегодня эндопротезирование – единственный выход в случае неизбежности хирургического пути решения проблемы.
Ссылаясь на результаты авторитетных мировых исследований, доктор физико-математических наук, профессор Юрий Колобов подчеркивает, что использование таких имплантатов без дополнительной модификации поверхности приводит к большому количеству ревизионного или повторного эндопротезирования вследствие возникновения асептического расшатывания, а также stress-shilding синдрома.
– Актуальной проблемой эндопротезирования является выбор оптимального вида модифицирования поверхности имплантата. Формирование покрытий важно в первую очередь с точки зрения уменьшения риска отторжения протезов и снижения травматизма операций, – поясняет Юрий Романович.
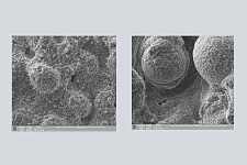
По словам старшего преподавателя кафедры материаловедения и нанотехнологий НИУ «БелГУ» Георгия Храмова, наиболее перспективным является создание пористой биосовместимой поверхности на эндопротезах методом микродугового оксидирования (МДО), который получил в последние годы широкое распространение.
– Метод МДО имеет много неоспоримых преимуществ: относительно недорогой, экологичный, он позволяет получать модифицированную поверхность с развитым микрорельефом, разветвленной системой пор и довольно высокой адгезией в системе «металлическая основа/функциональный слой». Кроме того, благодаря этому методу возможно повышать биоактивность модифицированной поверхности через изменение химического состава поверхности при использовании электролитов, содержащих кальций и фосфор, – отмечает Георгий Викторович.
Как пояснили учёные НИУ «БелГУ», важным техническим результатом и новизной изобретения является снижение средней плотности тока и использование мягкого анодно-катодного режима формирования биоактивных покрытий. Это обеспечивает возможность групповой обработки элементов эндопротезов крупных суставов человека с получением пористого биоактивного стеклокерамического покрытия на всей или заданной поверхности элементов эндопротезов из титановых сплавов.
Для реализации запатентованной технологии в НИУ «БелГУ» создан опытно-производственный участок формирования биоактивных покрытий с установкой микродугового оксидирования, базирующийся в Научно-образовательном и инновационном центре «Наноструктурные материалы и нанотехнологии».
Напомним, что ранее учёные запатентовали способ формирования биоактивного покрытия на поверхности эндопротезов крупных суставов в Белоруссии (патент № BY22513) и Казахстане (патент № KZ33984).
18.08.2021
| << Назад к списку | | Просмотров: 1351 |
Войти, чтобы оставить комментарий.


