Учёные НИУ «БелГУ» изобрели эффективный способ наложения гемостатического шва
Экспериментальные исследования показали, что при частичном удалении или ушивании травматического повреждения почек, печени и других паренхиматозных органов вероятность кровопотери и ишемических повреждений значительно снижается.
Новый шов предложила команда исследователей медицинского института НИУ «БелГУ» под руководством профессора кафедры госпитальной хирургии, доктора медицинских наук, члена правления Российского общества урологов, председателя Белгородского регионального общества урологов Сергея Шкодкина. Этот способ может использоваться для выполнения гемостатического шва при резекции или ушивания травматического повреждения почки, печени, поджелудочной и щитовидной желез.
В хирургии паренхиматозных органов известен горизонтальный П-образный однорядный шов Кузнецова-Пенского. Однако он обладает рядом недостатков: обилие шовного материала в ране, скручивание нитей между собой, разделение этапов прошивания органа, необходимость завязывания узлов с разных краев раны и другие. Это приводит к повышению расхода шовного материала, делает процесс более травматичным, затрудняет возможность манипуляций, усложняет процесс наложения шва и увеличивает время операции, что чревато ростом кровопотери.
Учёные-медики НИУ «БелГУ» создали эффективный способ наложения гемостатического шва паренхиматозных органов, позволяющий сократить время наложения шва, равномерно распределить нагрузку на ткани и исключить наличие неушитой внутренней ткани органа. При применении этого способа возможно уменьшить кровопотерю и ишемические повреждения ушиваемого органа. Как отмечает Сергей Шкодкин, инновационный способ заключается в прошивании нитью П-образным швом по линии резекции всей ткани органа.
– При использовании предложенного нами способа для гемостатического шва используется одна нить, она не рассекается для формирования шва, нет разделения этапов прошивания и завязывания узлов. Хирургические узлы располагаются на одной стороне органа, что также позволяет снизить кровопотерю, избежать вызываемых ею повреждений и ускорить заживление шва – рассказал Сергей Валентинович о характерных отличиях изобретения.
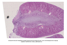
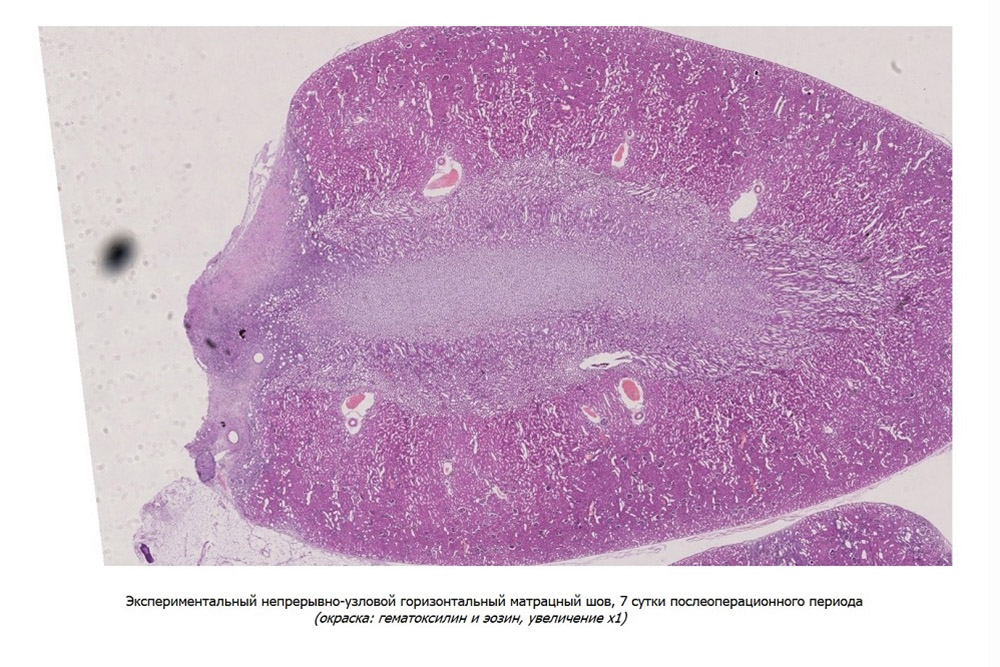
Экспериментальная часть работы проводилась на базе НИИ «Фармакологии живых систем НИУ БелГУ» и Центра коллективного пользования «Технологии и материалы НИУ БелГУ», клиническая – на базе Белгородской областной клинической больницы Святителя Иоасафа. Эффективность способа подтверждена результатами проведенных операций у пациентов с локализованными опухолями почки. В основной группе наблюдения регистрировали сокращение времени тепловой ишемии с медианой 11 минут и снижение частоты ранних послеоперационных осложнений в 2,4 раза. На 7 день после операции, отмечают исследователи, в тканях, прилежащих к линии шва, не было отека и признаков канальцевого некроза. В местах прохождения нитей отсутствовала травматизация почечной паренхимы, гематом и воспалительной инфильтрации.
04.07.2023
| << Назад к списку | | Просмотров: 1229 |
Войти, чтобы оставить комментарий.


