Учёные НИУ «БелГУ» разработали инновационную программу для распознавания и классификации лейкоцитов на фотографиях клеток крови
Разработка поможет значительно повысить точность и интерпретируемость результатов анализов.
Под руководством доцента кафедры математического и программного обеспечения информационных систем Владимира Михелева команда исследователей ИиИЦТ создала систему, способную автоматически идентифицировать различные типы белых кровяных телец (лейкоцитов) на микроскопических снимках. О разработке сообщило ведущее государственное информационное агентство России ТАСС.
Скорость обработки данных имеет особое значение для клинической диагностики, где время часто играет решающую роль. Автоматизация подобных процессов началась давно, однако современные методы часто либо слишком дороги, либо недостаточно универсальны. Каждая лаборатория использует свои уникальные снимки, отличающиеся по яркости, качеству и цвету, что значительно усложняет их распознавание. Исследователи НИУ «БелГУ» поставили пред собой цель создать универсальный метод, который одинаково эффективно можно применять к снимкам из различных лабораторий и с разных микроскопов.
Это стало возможным благодаря созданной ими программе ЭВМ, в основе которой гибридный метод, объединяющий два подхода – на основе экспертных правил и на основе обученной нейронной сети (ИИ).
Первая часть программы работает на базе экспертных правил, в которые сведены знания специалистов, применяемые при ручном анализе. Правила помогают определить, какой именно вид лейкоцита изображён на фотографии, с учётом таких характеристик, как форма клетки, её цвет, структура поверхности, а также статистики распределения цветов и форм внутри клетки. Затем модель применяет байесовский вывод, позволяющий учитывать не только известную информацию, но и новые данные, полученные в ходе наблюдений, что также повышает точность расчётов. Системы на базе экспертных правил обеспечивают наибольшую прозрачность и объяснимость результатов, однако данные в них могут быть субъективными. Например, один специалист может назвать цвет на изображении красным, другой – пурпурным, а третий – розовым.
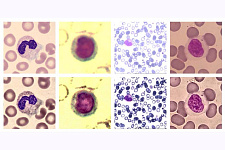
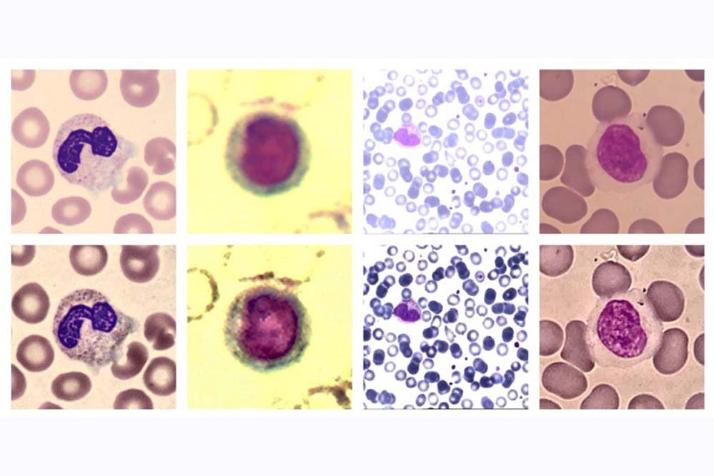
В основе второй части программы – нейросеть глубокого обучения. ИИ способны самостоятельно находить кровяные клетки на изображениях и определять их принадлежность к одному из пяти классов: нейтрофилы, лимфоциты, моноциты, эозинофилы и базофилы. Правильная настройка и большой объём обучающих данных позволяют нейронным сетям давать хорошие результаты. Однако ИИ может ошибаться, что критично для медицинской практики. Понимать, как система пришла тому или иному решению, очень важно, но нейросети не всегда дают такую возможность.
Учёным НИУ «БелГУ» удалось объединить преимущества экспертных правил и нейросетей. Новая программа обрабатывает каждый снимок двумя этими методами, после чего комбинирует результаты. Если оба метода приходят к одинаковому результату, он и будет считаться окончательным. При возникновении противоречия итог автоматического анализа отправляется на дополнительную проверку специалисту, который сможет вручную указать правильный тип клетки.
Но обработку снимка новой программе ЭВМ требуется меньше секунды, при этом точность порядка 93% сопоставима с современными сложными системами, включая большие нейронные сети. Но в отличие от большинства других, разработка учёных НИУ «БелГУ» при такой высокой производительности способна полностью сохранять прозрачность процесса – программа фиксирует распознанные признаки и активированные для их распознавания правила. Это позволяет экспертам проследить логику принятия решений и при необходимости внести корректировки.
– Для медицинской диагностики важны разработки математических моделей и гибридных методов, объединяющих преимущества нейронных сетей, интерпретируемых нечетких моделей и байесовского подхода. С практической точки зрения они обеспечивают высокую точность, прозрачность и удобство экспертного анализа, а также возможность корректировки автоматически принимаемых решений, – отметил Владимир Михелев.
17.10.2025
| << Назад к списку | | Просмотров: 1269 |
Войти, чтобы оставить комментарий.










